AY Honors/Blood and the Body's Defenses/Answer Key
Have the Microscopic Life honor.
Name two major constituents of blood. What is the percentage of each in normal blood?
Human blood consists of about 45% blood cells, and 55% plasma.
Be able to draw pictures of and name the 7 types of blood cells and indicate what each type does.
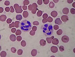
1. Neutrophils, are a type of white blood cell which travel to infected tissue and surround bacteria, rendering them harmless to the body. The picture below shows two neutrophils surrounded by multiple. red blood cells.
2. Monocytes, are a type of white blood cell which also travel to infected tissue and turn into macrophages. As macrophages, these cells kill germs (including cancer cells) and start the production of antibodies.
3. Eosinophils, are a third form of white blood cells and are responsible for combatting infections by parasites.
4. Lymphocytes are type of white blood cell involved in the human body's immune system. There are two broad categories of lymphocytes, namely T cells and B cells. T cells are especially important in cell-mediated immunity, which is the defense against tumor cells and pathogenic organisms inside body cells. They are also involved in rejection reactions. B cells, in the presence of an antigen (a substance that stimulates an immune response), can become much more metabolically active and differentiate into plasma cells, which secrete large quantities of antibodies.
5. Basophils are a fifth type of white blood cell which store histamine, a chemical that is secreted by the cells when stimulated in certain ways (histamine causes some of the symptoms of an allergic reaction). Basophils tend to appear in specific kinds of inflammatory reactions, particularly those that cause allergic symptoms.
6. Red Blood Cells are responsible for transporting oxygen to other cells in the body, and for collecting carbon dioxide from them for disposal.
7. Platelets are the blood cell fragments that are involved in the cellular mechanisms that lead to the formation of blood clots.
Observe some preserved human blood under a microscope. Count 100 white blood cells and draw a graph showing the number of each of the five types of white blood cells you found. Which type is most common? Which type is least common?
| White Blood Cell Type | Range |
|---|---|
| Neutrophils | 50-70% |
| Lymphocytes | 15-40% |
| Monocytes | 2-8% |
| Eosinophils | 1-4% |
| Basophils | 0.4-1.0% |
Reference for white blood cell distribution: Family Practice Notebook
Do at least one of the following and report on what you observed.
Observe blood being drawn from someone's arm by a medical professional.
With the help of an experienced person, observe blood flowing through some capillaries (either on video tape or in a living organism such as a hamster cheek-pouch, frog skin, or goldfish tail, using a microscope).
This website has a short moveie clip showing blood flowing through a capillary, but it's very short. It's shortness makes for a quick download though - the movie file is only 56Kbytes.
Here is another website with an online movie of blood flowing through a capillary. The movie file is 11 Mbytes long.
Visit a medical lab where blood tests are performed.
Visit a blood bank.
What two gasses are transported by the red blood cells? Explain why blood appears blue/green in your veins, but if you cut yourself, the blood that comes out is bright red. Explain why a lack of iron in your diet might make you have yellowish-colored blood.
Red blood cells transport oxygen to the rest of the body and carry the carbon dioxide away. Blood carrying oxygen appears bright red. When you cut yourself, your blood is exposed to oxygen in the air, and this is sufficient to cause it to turn color. When little oxygen is present is the blood, it is still red, but it is much darker, tending more towards black. Blood is neither blue nor green inside your veins, but it looks this way sometimes because the veins themselves and pigment in your skin impart a bluish tint.
Blood carries oxygen by letting it bind loosely with iron. Without sufficient iron in the blood, its oxygen carrying capacity is reduced. Since oxygen is what makes the blood bright red, it cannot assume this color without iron.
Explain how blood clots when you are injured. How does typical "First Aid" help in the process?
What does it mean to be a blood donor? If possible, know your blood type. What types of blood can be donated to you? Which blood types cannot be donated to you? Why?
| Recipient Blood Type | Donor must be | |||||||
|---|---|---|---|---|---|---|---|---|
| AB+ | Any blood type | |||||||
| AB- | O- | A- | B- | AB- | ||||
| A+ | O- | O+ | A- | A+ | ||||
| A- | O- | A- | ||||||
| B+ | O- | O+ | B- | B+ | ||||
| B- | O- | B- | ||||||
| O+ | O- | O+ | ||||||
| O- | O- | |||||||
Tell two stories in the Bible in which blood is involved. From what you know about blood, why do you think that the Bible uses blood as a symbol of God's saving power?
List 10 specific health habits that can help your body stay healthy and fight off infection. Find a reference from the Spirit of Prophesy that supports each one of these. Keep a record for three weeks of how often you repeat these 10 habits.
Immunology
Pathogen
Inflammation
Antibody
Memory Cells
Immunity
Vaccine
Allergy
Histamine
Antihistamine
Poison ivy and poison oak are often encountered by active Pathfinders. Be able to identify poison ivy and poison oak, and know how to avoid having allergic reactions to them, and explain what to do if you get an allergic reaction to either of them.
Poison ivy is shown in the picture on the left. Poisin Oak is on the right. Learn to identify these by sight. Poison ivy most often grows on "disturbed" ground, including stream banks, roadsides, and the edge of woods. Both these plants contain an oil called urushiol which causes allergic reactions if it comes into contact with your skin. Contact can be made directly (by touching the plant) or indirectly (by touching something that has touched the plant, such as a clothing, a friend, or a pet).
The best way to avoid having an allergic reaction to either of these is to avoid them. In order to avoid them, you must be able to recognize them. If you do come into contact with either of these, wash the affected areas with hot soapy water as soon as possible. Wash clothes in hot water too. If your pet has contacted poison ivy or poison oak, wash him in hot soapy water to remove the oil from his fur. The oil will not harm your pet (most animals are not allergic to urushiol), but your pet can easily tranfer the oil to you.
If you still get an allergic reaction, treatment depends on the severity of the reaction.
Seek emergency medical treatment under the following conditions:
- Swelling of the throat.
- Difficulty breathing.
- Weakness or dizziness.
- Bluish lips.
- Unconciousness.
You should see a doctor if any of the following apply:
- A large area of the body is affected.
- Rash on the face.
- Rash around the eyes, mouth, or genitals.
- A rash with pus.
You may otherwise self-treat:
- For minor rashes, apply Calamine lotion (not Caladryl), zinc oxide, or a mix of 3 teaspoons of baking soda with one teaspoon of water.
- Take an over-the-counter anithistamine such as Benadryl.
- Do not scratch
Make a list of as many as possible of the infectious diseases that you have had. Which ones are you now immune to? Explain why or why not.
From your personal medical records, list all of the vaccinations that you have had and determine from your doctor when your next vaccination should be.
Write or tell about one infectious disease (at least 250 words).
What is AIDS? How is it spread? Is there a cure? Why is it so devastating?
Find three Biblical references that have to do with cleanliness and the control of or spread of disease.
References
- Wikipedia articles on Blood and Blood Type



